Shenzhen root canal prices Shenzhen root canal fees

Vickong Dental Root Canal Treatment

Sweep away toothache and keep true teeth

Root canal treatment and

all-ceramic crowns

$2280

WhatsApp,WeChat: 852 67623079

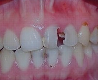
Severe Sudden Toothache, Unable to Bite or Eat

Inflamed dental nerves infect the pulp, causing severe pain. This pain disrupts work and life. Medication only offers temporary relief. When you experience any of the following four symptoms, watch for pulp and tooth disease.

  • Sudden tooth pain that worsens at night.

    Pulpitis symptoms
  • Sharp pain triggered by hot or cold foods.

    Pulpitis treatment
  • Radiating tooth pain that is hard to describe.

    Pulpitis symptoms
  • Exposed pulp pain from a broken tooth.

    Shenzhen root canal fees

Painkillers Aren't Enough—Book Treatment

Toothache treatment options

Key Point!

These issues cause tooth painRoot canal needed
  • Shenzhen root canal fees Shenzhen root canal cost

    Deep Cavity

  • Shenzhen root canal cost Shenzhen root canal fees

    Pulp Necrosis

  • Best root canal clinic in Shenzhen Shenzhen root canal fees

    Pulp Inflammation

  • Hong Kong root canal overview Hong Kong root canal fees

    Broken Crown & Root

  • Recommended root canal treatment in Hong Kong Hong Kong root canal prices

    Periapical Periodontitis

  • Hong Kong root canal specialists Hong Kong root canal fees

    Special Cases

Hong Kong root canal cost Hong Kong root canal fees
Hong Kong root canal specialty
Best root canal clinic in Shenzhen
Recommended root canal in Hong Kong
Recommended root canal treatment in Hong Kong

Do You Delay Treatment from Dental Fear?

Explore how pulpitis and periapical periodontitis develop

Pulpitis symptoms

Root canal is the best treatment for pulpitis and periapical periodontitis

Shenzhen root canal price Shenzhen root canal dentist

If you have these symptoms, dentists advise prompt root canal.

  • Best root canal clinic in Shenzhen Eat without pain; no fear of hot, cold, sour, or sweet.
  • Best root canal clinic in Hong Kong Digital CT diagnosis protects the affected tooth.
  • Hong Kong root canal specialist We advocate tooth preservation to maintain integrity.
  • Shenzhen root canal specialist Preserve every tooth; avoid implants or crowns.

Digital Dental Equipment for Precise Treatment

One-stop Root Canal Solutions Expert

Shenzhen root canal specialist
Reputable root canal dentists in Shenzhen Shenzhen root canal prices

Root Canal Procedure Breakdown

Vickong Dental never abandons any diseased tooth.

Shenzhen root canal treatment overview
Patient Diagnosis

Endodontist confirms pulp infection via CT and X‑ray before proceeding.

Canal Preparation and Disinfection

Open pulp chamber, remove necrotic tissue, then disinfect canals with medicaments.

Hong Kong root canal prices
Hong Kong root canal fees
Canal Filling

Place medicament for 3–5 days to test pain relief, then complete canal filling if stable.

Crown Preparation and Sealing

Seal pulp and prepare a crown to protect the treated tooth.

Hong Kong root canal specialists
Hong Kong root canal treatment fees
Tooth Protection

Restore with porcelain crown or inlay to protect and preserve the tooth.

  • 1
  • 2
  • 3
  • 4
  • 5

Vickong Dental’s Strict Clinical Treatment Standards

Shenzhen root canal specialist Pre‑Op Evaluation Standard
Shenzhen root canal prices

Vickong Dental creates a digital record, performs a full clinical exam, and evaluates the affected tooth before treatment.

Shenzhen root canal cost Humanistic Care Standard
Shenzhen root canal specialist

High‑standard reception with soothing music reduces stress, making dental visits pleasant and fear‑free.

Shenzhen root canal prices Canal Preparation Standard
Shenzhen root canal fees

Vickong Dental uses microscopes and digital devices to operate within fine root canals.

Hong Kong root canal fees Filling Standard
Shenzhen root canal prices

Vickong Dental provides endodontic motors and warm gutta‑percha units to standardize filling procedures.

Hong Kong root canal cost Disinfection & Isolation Standard
Shenzhen root canal cost

Instruments are used and sterilized per patient to eliminate cross‑infection at the source.

Top 10 Shenzhen–Hong Kong Clinics. Transparent, Fair Fees.

Shenzhen root canal fees

We want every patient to feel fully confident and trust us. Our excellent skills, professional ethics, and caring service ensure affordable, fear‑free care. Regain health and happiness here.

Root canal + filling + ceramic crown package

Anterior root canal + micro X‑ray exam +

  • 3M Z250 composite filling
    + 3D ceramic crown
  • ¥2280
  • 3M Z250 composite filling
    + German ceramic crown
  • ¥3080

Posterior root canal + micro X‑ray exam +

  • 3M Z250 composite filling
    + 3D ceramic crown
  • ¥2680
  • 3M Z250 composite filling
    + German ceramic crown
  • ¥3680

Professional Doctors

Trusted by the community

Lai Chengwen/ Attending Physician

Over 10 years of clinical experience in dentistry

Stomatology graduate, Guangzhou Medical University

Specialties

Complex curved and calcified root canal treatments, revision RCT, crown restorations

Luo Zhibo/ General Dentist

Bachelor of Dentistry, Southern Medical University

Certified DSD Aesthetic Dentistry Practitioner

Specialties

Root canal therapy, periodontal treatment, resin restorations, crown restorations

Shenzhen root canal treatment fees Hong Kong root canal fees

Popular Q&A


Q&A

Q Does root canal treatment hurt?
A Usually painless under anesthesia. Some patients feel anxious from instrument noise; we provide soothing music…[Details]
Q Is root canal treatment expensive?
A Fees vary by case severity. Severe cases may require crowns or inlays to prevent fracture…[Details]
Q How long does a tooth last after root canal?
A Depends on the dentist’s skill, protective crown use, and maintenance. Regular check‑ups are essential…[Details]
V I C K O N G   D E N T A L
Tel. 852 9146 5673
WhatsApp
Phone consultation

Click "OK" to consult and make an appointment at the Vickong Dental, and apply for free X-Ray fees and free consultation fees!

OK
WhatsApp consultation

Click "OK" to consult and make an appointment at the Vickong Dental, and apply for free X-Ray fees and free consultation fees!

Cancel OK